Tecnologia invisível para transformar seu sorriso com conforto, previsibilidade e estética.
Tecnologia invisível para transformar seu sorriso com conforto, previsibilidade e estética.
Descubra logo abaixo!
Os Alinhadores Invisíveis são placas transparentes, removíveis e praticamente imperceptíveis, criadas sob medida para movimentar seus dentes de forma gradual e planejada.
Aqui na Odontocentro Mairinque, todo o tratamento começa com avaliação digital e escaneamento, o que permite visualizar uma previsão do resultado final do sorriso antes mesmo do início.
Nada de surpresas. Nada de improviso.
Apenas tecnologia, conforto e um plano claro do começo ao fim.
Texto
Os Alinhadores Invisíveis são placas transparentes, removíveis e praticamente imperceptíveis, criadas sob medida para movimentar seus dentes de forma gradual e planejada.
Aqui na OdontoCentro Clínica Integrada , todo o tratamento começa com avaliação digital e escaneamento, o que permite visualizar uma previsão do resultado final do sorriso antes mesmo do início.
Nada de surpresas. Nada de improviso.
Apenas tecnologia, conforto e um plano claro do começo ao fim.
Texto
Com o escaneamento digital, você vê como seu sorriso pode ficar ao final do tratamento antes mesmo de aprovar. Clareza gera segurança.
Os alinhadores são removíveis, discretos e não machucam. Você pode tirar para comer, escovar os dentes e viver normalmente.
As consultas acontecem a cada 3 meses, com entrega dos pares de alinhadores para esse período, garantindo praticidade sem abrir mão do acompanhamento profissional.



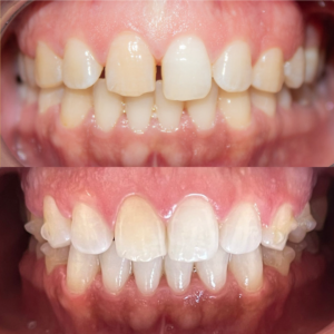
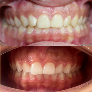
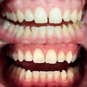
Casos documentados com acompanhamento fotográfico a cada etapa do tratamento.



Casos documentados com acompanhamento fotográfico a cada etapa do tratamento.
Especialista no planejamento e acompanhamento de Alinhadores Invisíveis, com foco em precisão, conforto e resultados naturais.
Cada tratamento é pensado de forma individual, respeitando a estética, a função e o ritmo ideal para cada paciente.
Aqui, o alinhamento não é padrão.
É personalizado.
Especialista no planejamento e acompanhamento de Alinhadores Invisíveis, com foco em precisão, conforto e resultados naturais.
Cada tratamento é pensado de forma individual, respeitando a estética, a função e o ritmo ideal para cada paciente.
Aqui, o alinhamento não é padrão.
É personalizado.
Agende sua avaliação e veja, na prática, como seu sorriso pode evoluir.






A Odontocentro é uma clínica que une tecnologia, planejamento digital e atendimento humanizado.
Cada paciente é tratado de forma individual, com foco em conforto, previsibilidade e qualidade de vida — do primeiro atendimento ao resultado final.
A Odontocentro é uma clínica que une tecnologia, planejamento digital e atendimento humanizado.
Cada paciente é tratado de forma individual, com foco em conforto, previsibilidade e qualidade de vida — do primeiro atendimento ao resultado final.
Não. Pode haver uma leve sensação de pressão no início de cada troca, o que é normal e temporário. No geral, o conforto é muito maior que o de aparelhos convencionais.
Não. As consultas são realizadas a cada 3 meses, com entrega dos alinhadores referentes a esse período.
Eles são praticamente imperceptíveis, feitos de material transparente e discreto.
Durante a avaliação, tudo é explicado com clareza. O objetivo é garantir conforto, adaptação e segurança antes de iniciar qualquer tratamento.
Para quem busca estética, conforto e praticidade, sim. Mas a indicação correta sempre depende da avaliação profissional.
R. Monteiro Lobato, 419 – Centro, Mairinque – SP, 18120-000
Cada sorriso é único, o atendimento é pensado exclusivamente para você.